A Bethesda Gyermekkórház újra egy sokkoló történet erejét választotta, hogy felhívja a figyelmet az e-roller veszélyeire.

A kórházi statisztikák mögött valódi történetek vannak: törött karok, behorpadt sisakok, elkeseredett szülők és gyerekek. Nem is volt olyan régen, hogy a Bethesda Gyermekkórház egy sokkoló történettel igyekezett felhívni a figyelmet a felelőtlen e-rollerezés veszélyeire, ami egyre nagyobb gondot jelent a hazai közlekedésben és a sok baleset miatt az ellátásban is.
Most újra nyomatékosítják, hogy a jelenség nagyon aggasztó.
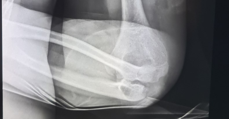
Bandi története megrázó, de korántsem egyedi. A 13 éves fiú szüleitől kapta első elektromos rollerét jó tanulmányi eredményeiért. Az öröm azonban nem tartott sokáig: másnap egy kátyú miatt bukott, feje többször az aszfalthoz csapódott, karja pedig nyílt törést szenvedett. A sisakja behorpadt, de megmentette a koponyáját – nélküle a sérülés sokkal súlyosabb lehetett volna.
A Bethesda orvosai szerint ilyen és ehhez hasonló esetek szinte minden nap előfordulnak. A baleset utáni műtői beavatkozás, a gipsz, a rehabilitáció mind hosszú hetekre kiveszik a gyereket a mindennapokból, és mély nyomot hagynak a családban is.
A Bethesda Gyermekkórház 2025 első hét hónapjában 202 gyermek e-roller balesetét látta el. Ez átlagosan napi közel egy sérülést jelent, de volt olyan ügyelet, amikor 5–6 gyermeket hoztak egyszerre.
A számok mögött ott a felismerés: a roller nem játékszer, hanem közlekedési eszköz, amely komoly felelősséget igényel. Ha a gyerek sisak nélkül indul el, minden szülőnek tudnia kell, hogy a következő pillanatban egy fejsérüléssel kerülhet kórházba. A gyors tempó, a kátyús utak, a figyelmetlen manőverek mind összeadódnak, és pillanatok alatt tragédiát okozhatnak.
A Bethesda orvosai szerint a szülők példamutatása döntő: ha a család komolyan veszi a védőfelszerelést, a gyerekek is inkább elfogadják. Az is fontos, hogy a szülők beszéljenek a gyerekkel a kockázatokról, és ne pusztán tiltással próbálják megoldani a helyzetet.
A Bethesda kérése minden családhoz egyértelmű és nyomatékos: